Skip to content
Behind the Brain
Search
Diseases
Neuroscience
Pyschology
Other
About Me
Contact
My Research
Category:
Other
Quantum Processes in our Brain
My Experiences Dissecting a Brain
3D Digital Model Of the Brain
Neuroscience of Inside Out (Part 1)
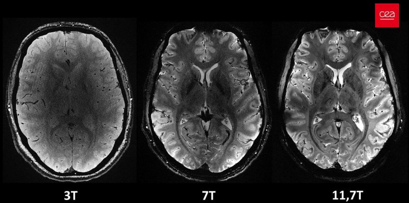
The Best MRI in the World
Brain-Computer Interfaces & Neuralink
Why does music make us feel emotions?
The Story of Phineas Gage
3D Printed Brain!
Previous Page
Privacy & Cookies: This site uses cookies. By continuing to use this website, you agree to their use.
To find out more, including how to control cookies, see here:
Cookie Policy
Subscribe
Subscribed
Behind the Brain
Sign me up
Already have a WordPress.com account?
Log in now.
Behind the Brain
Subscribe
Subscribed
Sign up
Log in
Report this content
View site in Reader
Manage subscriptions
Collapse this bar