When an astronaut goes to space, their environment changes drastically. They live in confined quarters, one wall away from deadly amounts of radiation. They live in zero-gravity, and have to drink and eat space food. All these changes in the environment have large effects on our body, the most commonly noted being lower bone density, muscle atrophy, and pressure on eyeballs. Among the less commonly documented effects of space on our body are the physiological changes in our brain that result from a trip to space. These exact effects will be the focus of today’s article.
Physiological Effects of Space on the Brain
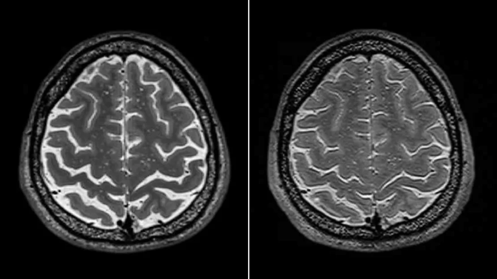
Due to the lack of gravity, cerebrospinal fluid (CSF) flows to the top of the body, thus making the brain float slightly higher in the skull. Additionally, since the cerebrospinal fluid flows up the body, it causes the expansion of cerebral ventricles (spaces in the middle of the brain containing CSF). The expansion of vertebral ventricles can squish surrounding brain tissue (as seen in the below image). In fact, age-related cerebral ventricular expansion has been attributed to cognitive decline.

Luckily for the upcoming industry of space tourism, studies have shown that cerebral ventricular expansion doesn’t occur in short-term space trips. However, once an astronaut undertakes a trip of longer than 6 months, it will require 3 years on Earth for their cerebral ventricles to return to normal size. Another risk space poses to the human brain is the acceleration of aging. When an astronaut travels to space, they greatly increase their risk of exposure to radiation, which can accelerate aging and cause cancer.
Implications for Space Travel
As mentioned before, since cerebral ventricular expansion only occurs on long-term spaceflights, the industry of space tourism is safe. Moving on to space exploration, since cerebral ventricular expansion slows down after one year, missions to Mars, likely lasting two years or longer, will still be safe for astronauts to undertake. However any astronauts who undertake any long-term trips should take a 3 year break before going on another long-term trip to allow the brain to recover and to prevent permanent cerebral ventricular expansion.
Leave a comment